Cabinet d'orthodontie du Dr BARBE
Orthodontiste spécialiste - Adultes et enfants à Maintenon (28)
15 BOULEVARD CLEMENCEAU, 28130 Maintenon
+33 2 37 27 51 44
Cabinet d'orthodontie du Dr BARBE
Orthodontiste spécialiste - Adultes et enfants à Maintenon (28)

CARRIERE MOTION


Objectif


Le dispositif carriere motion a pour but de corriger le décalage dentaire et des mâchoires dans le sens avant-arrière.

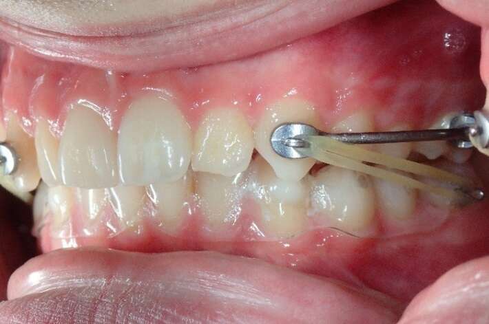
Description du dispositif


- Carrière motion : dispositif métallique collé dont le crochet antérieur sert à maintenir l’élastique

- Crochets : pour l’élastique en bas (collés sur les molaires)

- Gouttière mandibulaire qui permet :

• Une suppression des contacts entre les dents, ce qui favorise la croissance

• Une réduction des effets parasites sur les molaires supportant les élastiques

• Une répartition des forces sur toute l’arcade dentaire du bas

- Elastiques : c’est le moteur de l’appareil



Principe d’utilisation


Port de la gouttière et des élastiques 24h/24h :

- Ne jamais porter les élastiques sans la gouttière.

- Retirer la gouttière et les élastiques

• pendant les repas

• pendant le brossage des dents

Note bene : on peut pratiquer le sport.



Consignes alimentaires


Tous les aliments très durs et collants sont à éviter : pain dur, chocolat aux noisettes entières, chewing-gum, nougat, caramel …

D’autres aliments peuvent être mangés avec précautions :

• Les pommes ne doivent pas être croquées à pleines dents,

• Eviter les sandwichs à la baguette (pain de mie recommandé)

• Casser le chocolat et le faire fondre dans la bouche



GOUTTIERES


Les gouttières sont fournies en deux exemplaires.

Les deux gouttières doivent être portées alternativement : changement toutes les semaines.

Dans les cas de traitement par aligneurs (Invisalign), les aligneurs sont changés toutes les deux semaines (dates indiquées sur les sachets).



Ce qu’il ne faut pas faire


- Manger avec la gouttière.

- Passer la gouttière sous l’eau très chaude.

- Boire des sodas ou jus de fruits avec la gouttière (se rincer la bouche avec de l’eau avant de la remettre).

Entretien des gouttières


En complément du brossage des gouttières à chaque brossage des dents : Idéalement deux fois par semaine, il faut les faire tremper dans une solution de nettoyage (type Nitradine ortho&junior code ACL 456344.4…). Les comprimés sont vendus en pharmacie ou sur internet.



En cas de perte ou de casse


Si une des deux gouttières est perdue ou cassée, il faut utiliser la seconde gouttière.

Tout rapporter au prochain rendez-vous (gouttière cassée + socle (impression 3D)).

Une participation financière sera demandée pour la réalisation d’une troisième gouttière.



En cas de décollement


Si vous remarquez qu’un crochet est décollé, il faut arrêter de porter les élastiques de l’autre côté et contacter le cabinet  

(par email : secretariat@cabinet-barbe.net).

Si la tige du carrière motion est décollée  dans la partie antérieure, la vidéo accessible sur notre site vous montre comment la retirer.

Merci de prévenir le cabinet, un rendez-vous d'urgence vous sera donné.


https://www.cabinet-orthodontie-barbe.fr/nos-videos  cliquez ensuite sur la vidéo "Comment retirer la tige Carrière Motion?"

Comment retirer la tige Carrière Motion ?

ELASTIQUES


Ils doivent être changés tous les jours.

Bien respecter les indications de port et le type d’élastiques prescrits.

La quantité d’élastiques nécessaire entre deux rendez-vous est fournie. Si malgré tout, les élastiques viennent à manquer, il convient de passer au cabinet pour en récupérer un sachet.



HYGIENE BUCCO-DENTAIRE


Afin d’éviter les caries et le gonflement des gencives (gingivite), un brossage méticuleux est nécessaire.

Pendant la durée du traitement, (et après) il faudra pratiquer un brossage efficace, au minimum deux fois par jour, de préférence avec un dentifrice fluoré.

Il faut retirer la gouttière, avant de se brosser les dents.

Il convient également de nettoyer la gouttière par brossage des faces internes et externes avec du dentifrice (eau froide ou tiède : pas d’eau chaude).

Nous vous recommandons de visionner l’animation carriere motion sur le site du cabinet :

video-play-icon

Carriere® Motion


Articles similaires

Création par Webdentiste

Connexion